Jim K.

Revitalizing Jim’s smile!

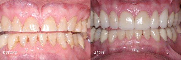
Jim K. from Pittsford, NY is a local business owner who had several concerns when he first came to us. His primary concern was the extensive wear on his teeth; and not being comfortable with how his mouth felt and looked. Jim felt that the extensive wear on his teeth made him appear much older and he was not comfortable with how his mouth looked or felt.

After a thorough evaluation and discussion about his dental care, Jim decided to have the appropriate treatment to address all his concerns.

Dr. Ricardo designed a treatment plan that consisted of porcelain crowns and dental implants.

Jim is very pleased with his new “younger looking” smile!